Javascript must be enabled for the correct page display
(916) 237-4419
Mon–Fri:
8:30am – 5:00pm
, Sat–Sun:
Closed
Phone
Hours
Follow us
Contact Us
(916) 237-4419
Working Hours
Monday – Friday
8:30 am – 5:00 pm
Saturday – Sunday
Closed
Follow Us
Facebook
Instagram
YouTube
Yelp
LinkedIn
Nextdoor
Google
Search
Main Menu
Smile Gallery
Services
Toggle Dropdown
Family Wellness
Toggle Dropdown
Dental Exams
Dental X-Rays
Dental Cleanings
Oral Cancer Screening
Sleep Apnea Screening
TMJ Screening
Sports Mouth Guards
Airway Dentistry
Emergency Dentistry
Eco-Friendly Dentistry
Restorative
Toggle Dropdown
Dental Fillings
Dental Crowns
Dental Implants
Dental Bridges
Dentures
Implant Supported Dentures
Cosmetic
Toggle Dropdown
Smile Makeover
Dental Bonding
Porcelain Veneers
Teeth Whitening
White Spots Treatment
Teeth Contouring
Gum Contouring
Invisalign
Pediatric
Oral Surgery
Toggle Dropdown
Sedation
Tooth Extractions
Implant Surgery
Oral Biopsy
Tongue-Tie Surgery
About Us
Toggle Dropdown
Meet the Doctor
Office Tour
Testimonials
Choosing Care
Blog
Technology
Patient Info
Toggle Dropdown
Insurance & Financing
Special Offers
Patient Forms
Virtual Consultation
Search
Request an Appointment
Request an Appointment
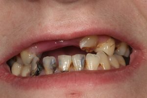
Smile Gallery
Case 1
Before
After
Case 2
Before
After
Case 3
Before
After
Case 4
Before
After
Case 5
Before
After
Case 6
Before
After
Case 7
Before
After